患者段某某,56歲,因“自感腹部增大1年余,檢查發現盆腔包塊3日”來診入院。患者絕經5年,1年來無明顯誘因自感腹部增大,勞累及進食后時感腹部悶脹不適,自認為長胖,未予檢查及進一步治療。
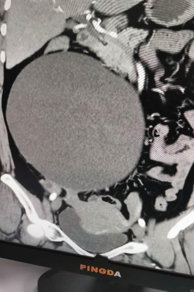
近半月腹部悶脹感加重,仰臥不能,伴頭暈、頭痛、四肢乏力,心悸胸悶、納差食少,當地縣人民醫院檢查發現盆腹腔有一巨大包塊性質不詳,進一步CT檢查示:右側腹腔巨大包塊影(20x18cm),診斷為:1、盆腹腔巨大包塊性質待查;2、高血壓3級極高危組;3、高血壓性心臟病;4、混合型高脂血癥;5、子宮肌瘤等多病。因患者盆腹腔包塊較大,合并基礎疾病較多,建議到上級醫院行手術治療、明確性質,遂于2020年10月19日就診于我院并收住婦科。
經充分術前準備后于10月23日在全麻下由婦科聯合外科團隊緊密配合下成功開展盆腔巨大包塊切除+子宮肌瘤剝除術,術中切除來源于右側附件(卵巢)巨大包塊約21x19x13cm,子宮前壁肌壁間肌瘤約4x3cm。術后配合中醫藥調理,患者腹脹、頭暈、頭痛、四肢乏力等不適癥狀消失,順利康復于2020年11月01日平安出院。



術后患者恢復良好,出院后患者的生活質量得到了大大的提高,為感謝入院期間醫生和護士的照顧與關心,患者特地送來一面錦旗“妙手去病魔,人心暖心窩”。充分表達了患者及家屬對醫院及醫生護士醫療服務工作的肯定和贊譽。

臨滄市中醫醫院婦科擁有德國進口宮腔鏡和腹腔鏡、LEEP刀、電子陰道鏡、臭氧治療儀等先進設備,常規開展宮腔鏡檢查術,宮腔鏡下粘連分離術、宮腔息肉摘除術、異物取出術;腹腔鏡下可行卵巢囊腫剝除術、輸卵管絕育術、輸卵管復通術,宮外孕手術,子宮切除術;開展無痛人流術、中孕期引產、取放環等計劃生育手術。
同時可為患者提供針刺、艾灸、中藥熱奄包、中藥灌腸、穴位貼敷、耳穴壓豆等中醫特色治療,中西醫結合治療不孕不育、外陰白斑、盆腔炎性疾病、痛經等婦科疾病,隨著各項手術的逐步開展及專項人才的引進,科室解決婦科疑難問題的能力將逐步提升,能為患者提供更專業的服務。
婦科醫生簡介


電話號碼:18088381816(李醫生)13684680760(吳醫生)
坐診時間:每天8:30—17:30
坐診地點:臨翔區鳳翔路156號二樓婦科門診